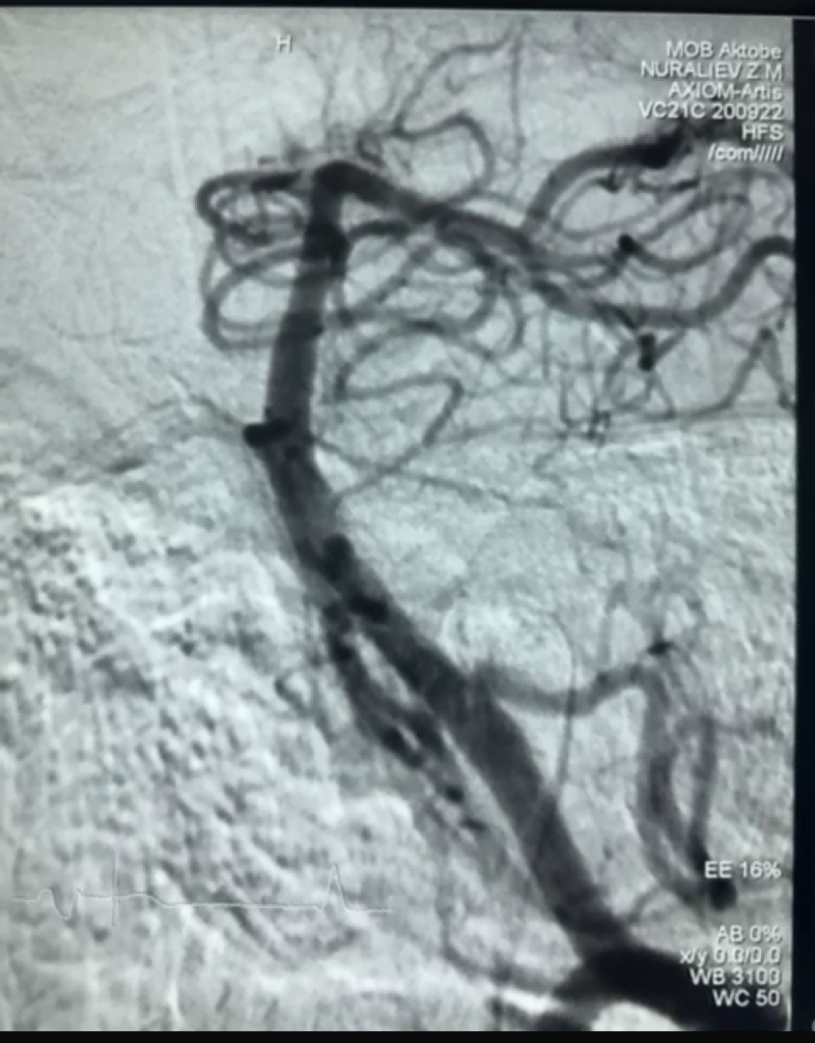
Yaqinda NeuroSafe Medical Co., Ltd kompaniyasining Dredger Stent Retriever yordamida muvaffaqiyatli trombektomiya ishi bo'ldi. Dredger Stent Retriever invaziv bo'lmagan yumshoq uchiga ega, bu esa intimal shikastlanish xavfini sezilarli darajada kamaytiradi va noyob maxsus shakldagi teshikka ega. asosan bo'shliq o'zgarishlar qisqich tomonidan qon quyqalarini ushlaydi dizayn.





